深圳愛康健口腔醫院(香港熱線6215 7070)常規樹脂補牙首顆半價!可用香港長者醫療券!若發現牙齒缺損,敏感或顏色異常,建議及時就診.牙醫會通過視診,探診及X線檢查評估狀況,並根據缺損位...
補牙有必要嗎?牙齒健康是人體整體健康不可或缺的一環,而補牙作為一種常見的修複手段,其應用需結合個體牙齒的實際狀況進行評估。下面深圳愛康健齒科小編就補牙的常見情況以及補牙的綜合價值為大家詳細介紹。
一、需考慮補牙的常見情況
齲齒的幹預與修複
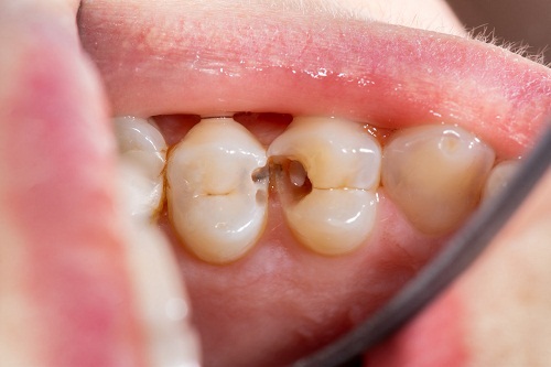
齲齒是牙齒硬組織逐漸被細菌侵蝕的慢性過程。若未及時幹預,齲壞可能從表層釉質擴展至深層牙本質,甚至引發牙髓感染。
·淺齲階段:補牙可阻止齲蝕進展,避免進一步破壞牙體組織。
·中深度齲壞:可能出現冷熱敏感、疼痛或食物嵌塞,及時修複可防止繼發牙髓炎或根尖周病變。
·典型表現:肉眼可見的齲洞、牙齒色斑、咀嚼不適或自發性疼痛。
牙齒結構缺損的修複
非齲性缺損同樣需關注,常見原因包括:
·物理損傷:如磕碰、咬硬物導致的牙體斷裂;
·長期磨損:夜磨牙或咀嚼習慣引起的牙面降低;
·楔狀缺損:刷牙方式不當造成牙頸部缺損。
修複後可恢複牙齒形態,改善咀嚼功能,預防鄰牙移位或對頜牙過度萌出。
緩解牙本質敏感
牙本質暴露可能由牙齦退縮、磨損或酸蝕引起,表現為對冷、熱、甜等刺激的短暫銳痛。通過修複材料覆蓋暴露區域,可有效隔絕外界刺激,保護牙髓組織。
二、無需馬上補牙的情形
部分牙齒問題可通過其他方式處理,例如:
·僅影響美觀的色素沉澱(如咖啡、茶漬);
·無實質缺損的氟斑牙或四環素牙;
·即將更替的乳牙且無功能障礙;
·無症狀的淺表釉質裂紋。
此類情況可能僅需專業潔牙、美白或觀察隨訪。
三、補牙的綜合價值
01預防性作用
早期修複能阻斷齲病發展,避免局部問題演變為複雜疾病。未經處理的齲齒可能引發牙髓感染,甚至通過血液循環影響全身健康。
02功能與形態恢複
完整的牙列有助於提升咀嚼效率,促進食物消化吸收。前牙修複還可改善發音清晰度與面部輪廓支撐。
03生活品質提升
健康的牙齒形態有助於維持社交信心,減少因牙齒問題導致的飲食限制或心理負擔。
四、專業建議與日常維護
定期口腔檢查(建議每6-12個月一次)是發現早期問題的關鍵。日常護理應注重:
·每日兩次正確刷牙,使用含氟牙膏;
·牙縫清潔配合牙線或間隙刷;
·控制高糖飲食攝入頻次;
·定期接受專業潔牙。
若發現牙齒缺損、敏感或顏色異常,建議及時就診。牙醫會通過視診、探診及X線檢查評估狀況,並根據缺損位置、大小及患者需求選擇合適的修複材料(如複合樹脂、玻璃離子等)。
30年深圳老字號牙科連鎖品牌
愛康健,旗下共有13家口腔醫院及門診,在深圳羅湖口岸、福田口岸以及皇崗口岸等各大口岸附近均有門店分布,醫師團隊由北大、港大、華西及中大等院校畢業的碩博醫生領銜,針對牙齒缺損開展補牙、拔牙、杜牙根、烤瓷牙、全瓷牙、種植牙、鑲牙等多種治療與修複方案。
即日起至2025年12月31日,預約到愛康健補牙可享常規樹脂補牙首顆半價,第二顆之後7.5折(非牙髓治療),杜牙根8.5折,生物合金烤瓷牙880元/顆,格萊美全瓷牙2580元/顆,鋯美全瓷牙1680元/顆等多個睇牙活動。旗下羅湖總院-深圳愛康健口腔醫院,是香港長者醫療券指定牙科使用機構,對於符合標准的香港長者可預約到院,在醫護人員的指引下,使用香港長者醫療券進行相關的牙科治療。
————————————————
愛康健口腔官方預約掛號方式:
④【官方WhatsApp預約入口】
温馨提示
爱康健齿科打造粤港澳大湾区口腔连锁品牌,为市民朋友提供问诊/就诊一站式服务,
点击在线咨询即获得一对一的咨询服务,
我们将对您提出的问题作出专业回答并保护您的隐私!

电话:852-62157070
在线客服