医保定点单位 深圳老字号 营业时间:9:00-18:00           WhatsApp: +8614775988935 0755-61302632(大陆) 00852-62157070(香港)
深圳爱康健口腔医院 > 牙病综合 > 洗牙 >

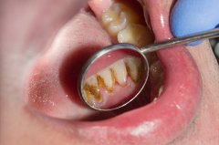
洗牙小档案

洁牙俗称洗牙,专业术语龈上洁治术,是指用洁治器械去除牙龈上牙结石、牙菌斑和色渍,并抛光牙面,以延迟菌斑和牙石再沉积。牙菌斑和牙结石是牙周病主要的局部刺激因素,洁治术是去除龈上菌斑和牙石比较好的方法。深圳洗牙邊間好?深圳爱康健11家口腔医院及连锁门诊开展超声波洗牙、菌斑导向型洁治、手工洁治、无痛洁牙等多个洗牙技术。深圳洗牙價錢?洗牙幾錢一次?爱康健齿科超声保健洗牙60元/次,菌斑导向专业洗牙(有盐)158元/次,活动时间:即日起至2026年2月28日。近羅湖口岸總院愛康健口腔醫院洗牙可用香港長者醫療券!欢迎点击爱康健官方网站 www.ckj100.com 在线咨询!

  • 首页
  • 1
  • 2
  • 3
  • 4
  • 5
  • 6
  • 7
  • 下一页
  • 末页
  • 1971573
  • 温馨提示

    爱康健齿科打造粤港澳大湾区口腔连锁品牌,为市民朋友提供问诊/就诊一站式服务, 点击在线咨询即获得一对一的咨询服务, 我们将对您提出的问题作出专业回答并保护您的隐私!

    电话:852-62157070
    在线客服
    精彩视频 倡导预约 齿科服务先驱

    医生推荐

    巩贤平

    巩贤平

    副主任医师 爱康健口腔医院院长 预约挂号

    擅长:

    种植修复,微创美学修复,全口咬合重建等;熟练应用口腔显微镜并在显微放大设备下进行种植手术、牙周美学手术...

    熊国平

    熊国平

    主任医师 副教授 口腔正畸博士 预约挂号

    擅长:

    儿童、青少年、成人的各类牙、颌、面畸形的诊断与治疗。...

    杨福强

    杨福强

    主治医师 深圳爱康健口腔医院副院长 预约挂号

    擅长:

    冠根一体化牙体牙髓及牙周病的诊疗,复杂牙的拔除,牙体缺损的嵌体修复,以及烤瓷冠、义齿的修复等方面的诊治...

    卢勇辉

    卢勇辉

    主治医师 爱康健口腔医院副院长 集团种植学科带头人 预约挂号

    擅长:

    微创植牙、即刻种植和种植美容修复,即刻修复及各种复杂种植、植骨术。在口腔种植及修复方面有丰富的临床经验...

    李川

    李川

    主治医师 爱康健口腔医院院长 预约挂号

    擅长:

    即刻种植、微创种植、牙齿美容修复、前牙全瓷美学修复等。...

    熊志华

    熊志华

    副主任医师 集团康辉口腔门诊院长 预约挂号

    擅长:

    微创种植,微创智齿拔除以及微创口腔美容修复等技能,对整体口腔方案制定及系列化治疗有丰富的临床经验,待人...

    陆卉

    陆卉

    副主任医师 正畸双硕士 集团正畸专科主任 预约挂号

    擅长:

    儿童、成人现代固定矫治,自锁轻力矫治,美国Invisalign透明隐形矫治,德国Incognito舌侧矫治,对各类复杂、疑难错颌...

    杜艺平

    杜艺平

    副主任医师 口腔医院正畸科主任 预约挂号

    擅长:

    儿童牙列及面部畸形的固定矫治和功能矫治技术,成人各类错颌畸形的功能矫治、固定矫治和隐形矫治,熟练应用2...

    代堂华

    代堂华

    主治医师 种植专业副主任 预约挂号

    擅长:

    微创植牙、即刻种植和种植美容修复,即刻修复及各种复杂种植、植骨术。在微创种植,种植骨增量手术方面积累了...

    许欢

    许欢

    主治医师 口腔正畸学硕士 预约挂号

    擅长:

    青少年、成人隐形矫治,各类不齐、前突、反颌等牙性、颌骨性的错颌畸形,关注上呼吸道和口腔不良习惯与矫治的...

    李昂

    李昂

    主治医师 正畸学硕士 预约挂号

    擅长:

    数字化无托槽隐形矫正、青少年早期矫正、个性化舌侧矫正及Insignia数字化精准高效唇侧矫正。...

    门诊地图

    爱康健口腔医院地图
    热门项目
    烤瓷牙 牙齿矫正 前后种植 种植牙 冷光美白 后牙种植 儿童龋齿 即刻种植 单颗种植 全瓷牙 牙齿不齐 多颗种植 拔牙 隐形正畸 半口种植 洗牙 补牙 全口种植
    热门关注
    地包天 牙间缝 虎牙 龅牙 鼠牙 四环素牙 氟斑牙 烟渍牙 牙龈炎 牙周炎 牙结石 牙龈出血 牙龈疼痛 牙龈萎缩 牙周创伤 牙齿松动 黄牙 黒牙
    关于希玛爱康健
    深圳市希玛爱康健口腔医院电话咨询电话:0755-61302632(大陆)
    00852-62157070(香港)
    深圳市希玛爱康健口腔医院电话WhatsApp:+8614775988935
    深圳希玛爱康健齿科集团微信
    WeChat咨询
    深圳希玛爱康健齿科集团小程序
    微信小程序:爱康健齿科