深圳愛康健口腔醫院及連鎖門診推出常規樹脂補牙首顆半價,第二顆起7.5折!羅湖總院支持香港長者醫療券!補牙時會先行詳細的口腔檢查.醫生會借助專業器械,查明齲齒的具體位置,范圍及...
深圳地區補牙的費用因就診機構、牙齒損壞程度及修複材料的不同而存在一定差異。整體而言,公立社康中心的補牙價格相對較為基礎,而私立口腔專科醫院則能提供更豐富的材料選擇與個性化服務。
值得一提的是,作為“長者醫療券大灣區試點計劃”的指定牙科服務機構,深圳愛康健口腔醫院支持符合條件的香港長者直接使用醫療券結算,並在2025年終答謝活動(活動時間截止到2026年2月28日)中推出了常規樹脂補牙首顆可享半價,第二顆起7.5折的活動,因此受到了許多香港市民的咨詢與關注。

一、深圳補牙多少錢概況了解
了解深圳補牙的大致價格區間,有助於患者根據自身需求進行選擇。
深圳的牙科服務市場提供多種價位的選擇。社區健康服務中心通常提供基礎的牙科治療,采用普通樹脂材料進行補牙,單顆價格一般在數百元不等,適合修複需求較為簡單的情況。
私立口腔診所或醫院的服務項目通常更為細致,價格范圍也相應更廣。例如,部分私立機構的樹脂補牙(前牙區域)收費約在300元人民幣左右每顆。
作為在深圳設立多年的專科口腔醫療機構,愛康健口腔醫院提供的補牙服務覆蓋不同層次。常規樹脂充填治療價格從300元人民幣每顆起,玻璃離子充填治療價格每顆300元起,聲波樹脂充填治療每顆550元起,還有超強納米樹脂充填每顆800元起,而采用美學分層樹脂修複技術、對美觀度要求較高的修複,價格則為1500元人民幣每顆起。
二、選擇牙科機構時的考量因素
深圳愛康健成為不少市民,包括香港患者的選擇,與其多方面特點有關。該機構在深圳運營多年,是一家擁有多家連鎖門診的本地口腔醫療品牌,服務網點分布於羅湖、福田、南山區域。
地理位置是其便利性之一。其總院-深圳愛康健口腔醫院,坐落於羅湖區建設路,從羅湖口岸步行前往僅需幾分鍾,為深港兩地的就診者提供了交通上的方便。
在服務經驗方面,該院累計接待了大量香港患者,對於跨境就醫的流程和需求較為熟悉。
從專業設置上看,醫院劃分有口腔種植、牙齒矯正、修複、牙體牙髓等多個專科,擁有來自北大、華西、中大、港中大等院校的碩博專業牙科醫生,能夠應對常見的及複雜的口腔修複需求。

三、關於長者醫療券的相關信息
合資格的香港長者在深圳愛康健口腔醫院就診時,可使用“香港長者醫療券”支付指定牙科服務的費用。
根據“長者醫療券大灣區試點計劃”的政策,年滿65歲或以上的合資格香港長者,可使用其醫療券賬戶內的餘額,支付在該指定機構接受牙科門診服務的相關費用。
目前,每名合資格長者每年可獲得2000港元的醫療券額度,累積上限為8000港元。這一安排為香港長者在深圳尋求牙科服務提供了支付方式上的支持。
四、補牙的一般流程與相關補牙活動
專業的補牙治療通常遵循一系列規范的步驟。以愛康健口腔為例,其補牙過程大致可分為以下環節:
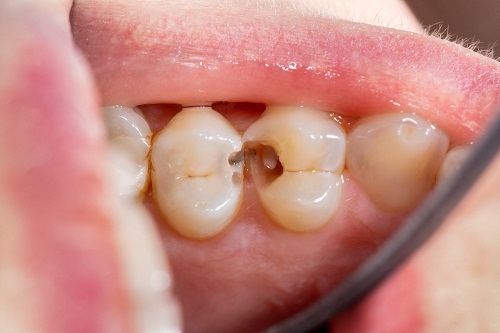
先行詳細的口腔檢查。醫生會借助專業器械,查明齲齒的具體位置、范圍及深度,並評估整體口腔健康狀況,從而確定是否需要補牙以及具體的修複方案。
在治療開始前,院方會與患者確認治療方案及相應費用,價格透明,讓患者清楚了解各項開支。
此外,愛康健口腔目前推出了2025年終答謝看牙活動:常規樹脂補牙可享受首顆半價,從第二顆起享7.5折,另外還有根管治療8.5折,該活動截止日期為2026年2月28日,建議有需求的患者提前咨詢確認。

五、就診前的准備工作與預約途徑
適當的准備可以使就診過程更為順暢。
提前預約有助於合理安排時間。患者可通過官網(www.ckj100.com)、香港專線(852-62157070)、內地電(0755-61302632)話或官方WhatsApp+8614775988935等線上渠道進行咨詢和預約。
對於計劃使用長者醫療券的患者,就診時請務必攜帶有效的香港身份證或《豁免登記證明書》,以便順利完成身份核驗與費用抵扣。
該機構提供粵語服務,並在診療環境中注重“一醫一患一診室”的安排,以保障溝通效率與就診私密性。
總體來看,深圳補牙價格具有彈性,患者可根據個人預算、牙齒具體情況以及對服務的期望進行選擇。深圳愛康健口腔醫院憑借其地理位置、跨境服務經驗及專科設置,為患者,特別是香港長者,提供了一個可考慮的選項。在做出決定前,建議多方咨詢,比較不同機構的服務、價格與方案,從而選擇適合自己的牙科服務機構。
上一篇:深圳補牙價錢幾多?愛康健羅湖康輝牙科門診常規樹脂補牙首顆半價!
30年老字號牙科連鎖品牌愛康健常規樹脂補牙首顆半價,第二顆起7.5折.超聲波保健洗牙60元/次,菌斑導向專業洗牙158元/次.牙齒健康影響著我們的咀嚼功能,面部美觀乃至整體健康狀態.通過定期檢查和專業護理,我們能夠及早發現並處理潛在問題,讓健康的牙齒陪伴我們更久....【详细】
下一篇:門牙缺了一塊怎么辦?深圳補門牙要多少錢一顆?有哪些補牙方式?
深圳愛康健口腔醫院及連鎖門診年終答謝活動補牙價錢:常規樹脂補牙首顆半價,第二顆起7.5折!羅湖總院支持使用香港長者醫療券!常見的修複方式主要有四種,它們各有特點,適用於不同的臨床情況.複合樹脂直接修複是較為快捷經濟的選擇。對於追求更高美觀度和長期結果的患者,瓷貼面是一個重要選項.當牙齒缺損范圍較大,或已經過根管治療(抽牙神經)變得脆弱時,全瓷冠則是更堅固的選擇.此外,瓷嵌體/高嵌體也是一種修複工藝....【详细】