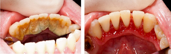
牙結石的嚴重程度如何分級?牙結石是口腔健康的重要指標,根據其覆蓋面積和位置,通常分為三個等級:
一級牙結石:牙結石覆蓋面積小於牙面的1/3,主要分布在牙齦邊緣,質地較軟,可通過規范刷牙控制發展。
二級牙結石:覆蓋面積達牙面的1/3至2/3,可見明顯的黃色或褐色沉積物,部分延伸至牙齦下方。
三級牙結石:覆蓋面積超過牙面的2/3,形成大量齦下結石,常伴有牙齦紅腫、出血等牙周症狀。
及時清除牙結石是預防牙周疾病的關鍵步驟。超聲波潔牙是目前常見清除方式,能夠去除各等級牙結石。
深圳地區的洗牙服務價格受機構類型、服務內容和地區因素影響:
深圳公立醫院口腔科的超聲波潔牙價格多在百元不等,部分社區衛生服務中心提供更基礎的選擇。私立口腔診所和專科醫院價格體系較為多元,常規超聲波潔牙服務價格多在幾百元左右。
30年深圳老字號牙科連鎖品牌
愛康健,作為深圳地區服務香港市民較多的專業口腔醫療機構,提供符合不同需求的口腔護理方案,其基礎潔牙服務與深圳市場行情相符合。即日起至2026年2月28日,超聲波保健洗牙60元/次,菌斑導向專業洗牙158元/次,牙周治療8折,牙周刮治首顆半價。
專業洗牙機構的服務差異
專業口腔醫療機構在洗牙服務中通常包含以下環節:
①全面的口腔檢查與牙周評估,准確識別牙結石等級和分布。
②根據個體情況定制潔治方案,包括超聲波潔牙、噴砂拋光等步驟。
③潔牙後提供針對性的口腔衛生指導,幫助維持長期效果。
選擇設備完善、流程規范的醫療機構,保障潔牙過程舒適安全,同時為後續口腔健康管理打下基礎。
香港長者醫療券在深使用指南
自粵港澳大灣區醫療合作深化以來,香港“長者醫療券大灣區試點計劃”已覆蓋深圳多家醫療機構。香港長者可在深圳使用醫療券支付包括口腔護理在內的多項醫療服務。
愛康健旗下羅湖總院-深圳愛康健口腔醫院是該計劃在深圳的口腔專科服務點之一。符合資格的香港長者攜帶有效香港身份證件,即可在該院使用醫療券支付洗牙及相關口腔治療費用。
具體操作流程包括:身份驗證、醫療券資格確認、服務提供和費用結算。每名合資格長者每年可獲得2000港元的醫療券額度,累積上限為8000港元,能滿足常規口腔護理需求。
跨境口腔護理的便利選擇
對於居住在粵港澳大灣區的香港居民而言,深圳愛康健提供了就近的專業選擇。羅湖口岸、福田口岸及皇崗口岸等各大口岸附近的口腔醫院及門診因地理位置便利,成為不少市民的優先考慮。
這些門店通常能夠提供兼顧兩地特點的服務模式,既符合專業醫療標准,又考慮到了香港居民的就診習慣。就診前了解清楚服務流程、費用構成和醫療券使用方式,有助於獲得更順暢的跨境醫療服務體驗。
選擇合適的洗牙服務需要綜合考慮專業水平、服務內容、價格體系和便利性。定期潔牙作為基礎口腔護理,能夠控制牙結石發展,預防更複雜的牙周問題。無論是通過本地醫保結算,還是使用香港長者醫療券支付,維護口腔健康的長期收益遠超過定期護理的投入。當發現牙齒表面出現硬化沉積物或牙齦經常出血時,及時尋求專業潔牙服務是明智的健康投資。
————————————————
愛康健官方預約掛號方式:
⑤愛康健官方微信小程序:微信小程序搜索“愛康健齒科”或掃描下方愛康健齒科微信小程序二維碼
温馨提示
爱康健齿科打造粤港澳大湾区口腔连锁品牌,为市民朋友提供问诊/就诊一站式服务,
点击在线咨询即获得一对一的咨询服务,
我们将对您提出的问题作出专业回答并保护您的隐私!

电话:852-62157070
在线客服