在維護口腔健康的日常話題中,牙結石是一個繞不開的“敵人”。很多人對洗牙抱有疑問:我的牙結石嚴重嗎?在深圳洗牙多少錢?面對市場上諸如
愛康健等口腔機構,又該如何選擇?
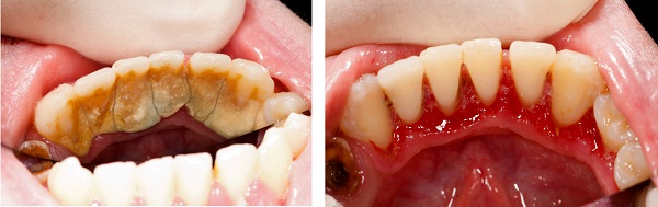
一、 你的牙結石到了哪一級?別等牙齦出血才重視
牙結石,其實是牙菌斑鈣化後的產物。如果日常刷牙清潔不到位,食物殘渣與細菌形成的軟垢會在唾液中礦物質的作用下逐漸變硬,形成緊緊附著在牙齒上的結石 。
牙結石的形成通常在24至72小時內即可發生,且一旦形成,日常刷牙根本無法去除 。根據牙結石的量和覆蓋范圍,臨床上通常將其分為以下幾個等級,你可以對照自查:
·0度:無軟垢及牙結石,這是理想的口腔狀態 。
·1度:少許軟垢或牙結石,附著未超過牙面的1/3。此時通常無明顯症狀,但需要注意清潔 。
·2度:有可見的牙結石,未超過冠面的1/3,可能伴有少量齦下結石。此時可能伴有偶爾的牙齦出血 。
·3度:牙結石不超過冠面的2/3,伴有較多的齦下結石。此時往往伴隨明顯的牙齦紅腫、萎縮、持續性口臭,甚至牙齒松動 。
牙結石的多孔結構極易吸收細菌毒素,不僅壓迫牙齦,更是導致牙齦炎、牙周炎,從而引起牙齒松動脫落的元凶 。因此,定期通過專業醫療手段清除牙結石,是維護牙周健康不可或缺的一環。
二、 破解“洗牙恐懼”:專業治療是關鍵
針對牙結石的治療,有效的方式就是通過醫療設備進行專業清潔,即我們常說的“洗牙”或“潔治”。
·治療原理:利用超聲波高頻震蕩或手用器械,去除牙齦上的牙石、菌斑和色漬,並隨後進行牙面拋光,以延遲菌斑和牙石的再次沉積 。
·治療頻率:對於普通人群,建議每年進行1-2次牙科檢查和清潔。而對於吸煙者或牙結石形成較快的人群,則需要遵醫囑適當增加頻率 。
值得注意的是,有些人洗完牙後感到牙齒敏感或松動感,這恰恰是因為之前厚厚的牙結石像“棉襖”一樣包裹著牙齒,一旦去除,原本已經萎縮的牙齦暴露出來,屬於正常的治療反應,一段時間後即可適應 。
對於深圳及周邊的居民而言,口腔醫療資源豐富,價格區間也相對寬泛。洗牙費用通常受機構性質、設備完善程度、醫生經驗及服務項目等因素影響。
在深圳,一次常規的保健洗牙價格從幾十元到幾百元不等。面對這一價格區間,消費者在選擇時不應只看重低價,更要關注醫療機構的資質、消毒流程的規范性以及醫生的專業度。
以深耕深圳多年的愛康健為例,其不僅在內地居民中擁有良好口碑,更因旗下多家門店毗鄰口岸的地理優勢,成為許多香港居民北上就醫的選擇 。
選擇愛康健進行口腔保健的幾點優勢:
·合規定價,透明消費:愛康健推出保健洗牙68元/次,菌斑導向專業洗牙158元/次的服務項目,價格透明且具性價比,活動時間截止到2026年4月30日。這一舉措惠及更多注重健康的市民,消費者可通過官方渠道詳細了解服務內容,做到明明白白消費。
·深港融合,醫療銜接:作為“長者醫療券大灣區試點計劃”的指定機構,位於羅湖火車站大樓的愛康健口腔醫院現已接受香港長者醫療券 。這意味著合資格的香港長者可以在深圳使用香港政府提供的醫療券支付牙科服務費用,較大程度地便利了跨境養老的長者群體。
·資質正規,深港認可:愛康健成立於1995年,已有30餘年的曆史,連續四屆獲“深圳老字號”榮譽,具備完整的口腔診療科目,包括牙周病專業、口腔預防保健等 。同時,由於旗下羅湖總院被納入醫療券試點,也意味著其服務標准受到香港特區政府衛生署的監管與認可,這無疑是對其醫療質量的雙重肯定 。
·口岸便利,通達性強:愛康健羅湖總院位於羅湖口岸火車站附近,地鐵1號線羅湖站C出口及9號線人民南站A1出口均可直達,對於深港兩地居民來說,就診交通非常便捷 。
四、 常見問題解答
Q:牙結石可以自己在家刮掉嗎?
A:不可以。自行操作易損傷牙釉質和牙齦,導致感染。牙結石必須由專業牙醫使用醫療器械進行清除 。
Q:洗牙會讓牙縫變大嗎?
A:牙縫變大並非洗牙造成,而是牙結石造成的。牙結石長期堆積占據牙縫位置並導致牙齦發炎腫脹,當結石被清除後,真實的牙縫和健康的牙齦狀態才顯露出來。
Q:在愛康健使用香港長者醫療券複雜嗎?
A:流程簡便。合資格長者在就診前,只需先登記加入香港的“醫健通”系統,就診時即可使用醫療券支付合資格的牙科服務費用 。
結語
牙結石雖小,卻是口腔健康的頭號大敵。了解其分級與影響,是邁向科學護牙的關鍵一步。在深圳這座充滿活力的城市,無論是尋找高性價比的68元保健洗牙,還是作為香港長者尋求可使用醫療券的靠譜牙科服務,愛康健都以其便捷的地理位置、規范的醫療服務和深港融合的特色,為市民提供了一個安心的選擇。
————————————————
爱康健多渠道便捷预约,预约方式如下:
到院告知->从优化官网看到活动过来
4、官方微信小程序:搜索【爱康健齿科】或扫描以下二维码进入完成预约
温馨提示
爱康健齿科打造粤港澳大湾区口腔连锁品牌,为市民朋友提供问诊/就诊一站式服务,
点击在线咨询即获得一对一的咨询服务,
我们将对您提出的问题作出专业回答并保护您的隐私!

电话:852-62157070
在线客服